Surrey Hills Dental
Brandon Onley DDS

Smile Gallery

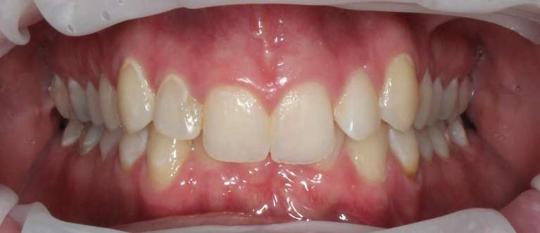
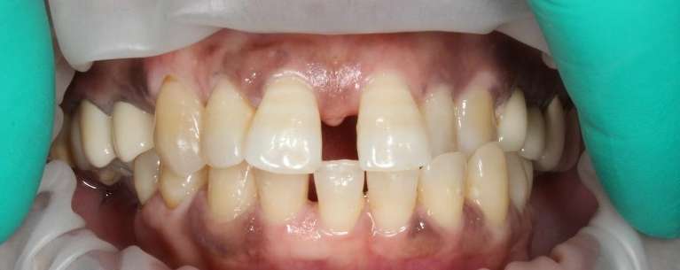
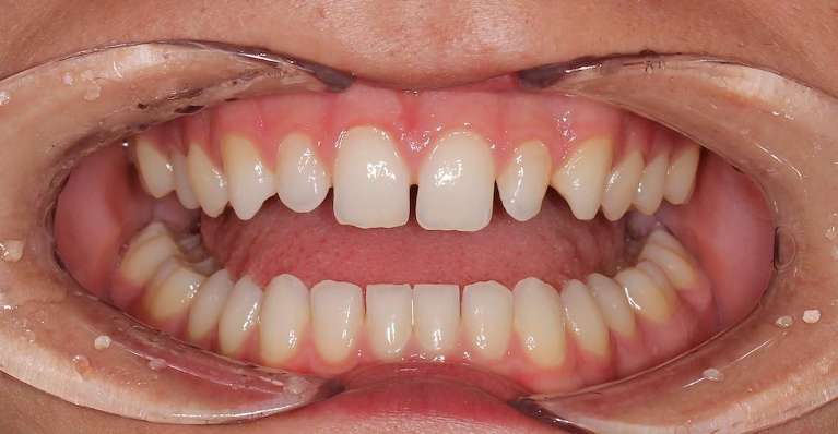
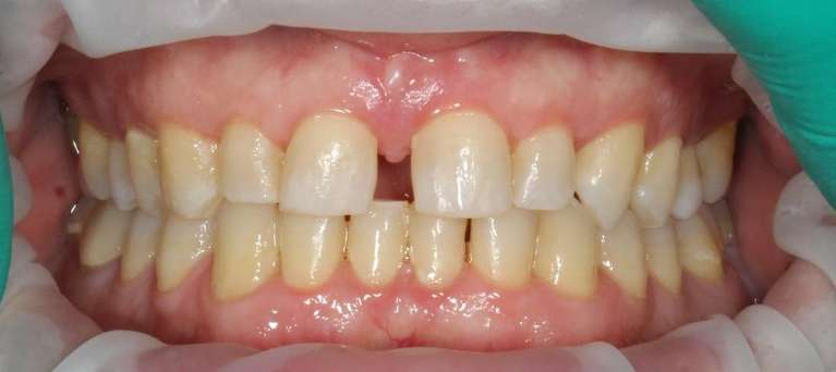
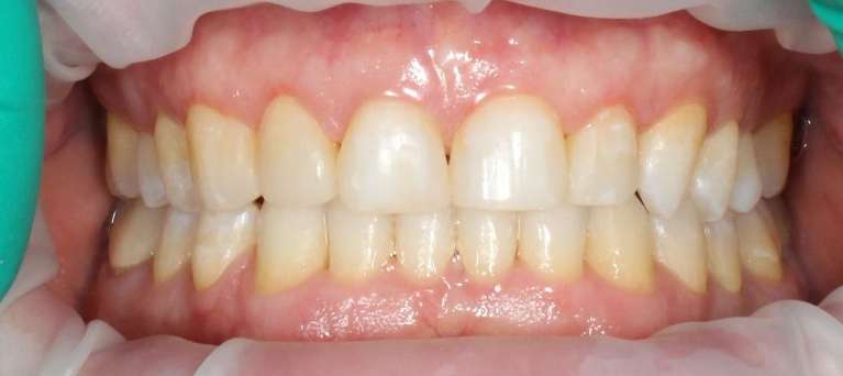
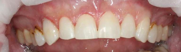
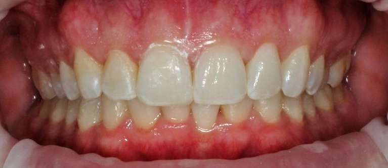
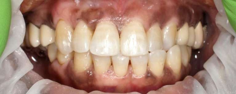
Please look through before and after pictures of our actual patients and see what's possible for your smile.

We Warmly Welcome New Patients to Our Practice
Smile Gallery Categories
If you have difficulty using our website, please email us or call us at (405) 373-2255
View the ADA Accessibility Statement
Privacy Policy